400 W Stuart Ave Suite 110, Redlands, CA 92374
drgaryk1@gmail.com
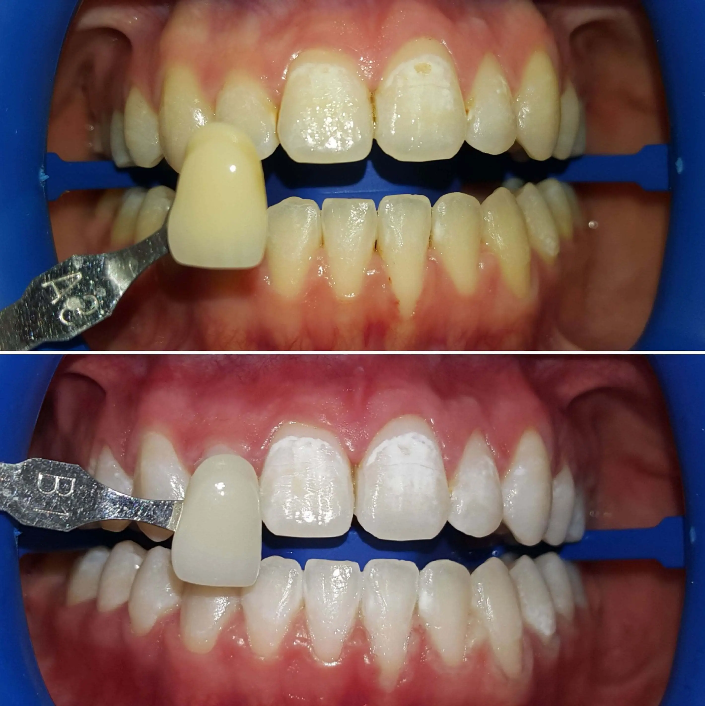
Experience the magic of Zoom Teeth Whitening for a brighter, more confident smile in just one visit.
Over 25 years of experience in creating radiant smiles.

Zoom teeth whitening gives you instant results, no more wearing uncomfortable trays at night with barely any results.


Professional whitening is quick and easy with Zoom Teeth Whitening. Zoom Blue LED light-accelerated technology and gel whitens rapidly while Amorphous Calcium Phosphate (ACP) helps deliver enamel protection, improve luster and reduce sensitivity.
Once Brandie has checked the current shade of your teeth, she will take you through these simple steps:
After treatment you get free take home tooth whitening kit to maintain your new smile!